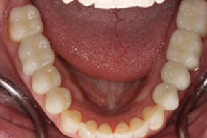
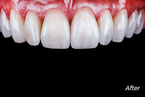
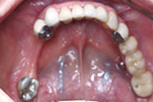
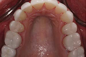
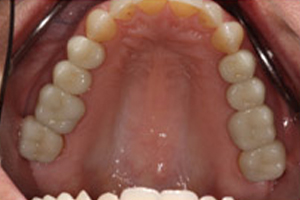
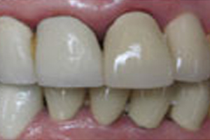
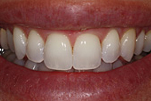
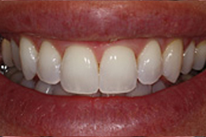
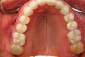
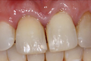
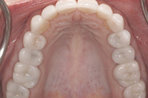
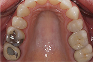
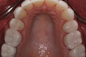
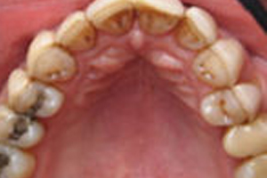
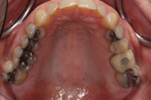
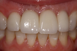
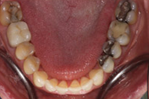
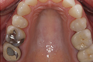
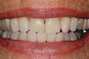
Posterior Arch Reconstruction - Patient: Gaye Replaced old, broken down mercury fillings.Before After Before After All Ceramic Crowns - Patient Eve Before After Full Mouth Reconstruction - Patient: Alf Before After Full Mouth Reconstruction - Patient: Marilyn Before After Before After All Ceramic Anteriors - Patient: Irina Before After Before After Before After Veneers - Patient: John Before AfterBeforeAfter Metal Free Crowns - Patient: Alf Before After Before After Partial Rehabilitation Before AfterBefore After White Fillings Before After Before After Patient: Stacy BeforeAfter Before After Patient: Mel Before After Patient: Janis Before After Patient: Stacy BeforeAfter BeforeAfter Patient: Holli BeforeAfter